we help make your smile beautiful & healthy
Smile Gallery
See our life changing work. All of these people found new confidence with their beautiful new smiles. Are you next?
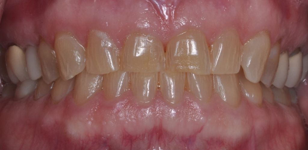
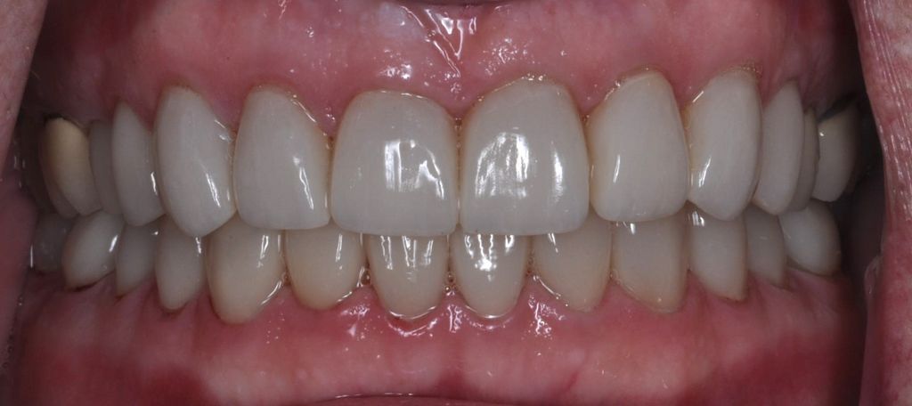
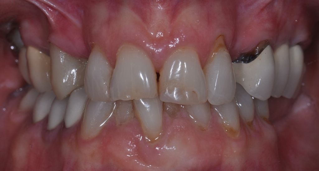
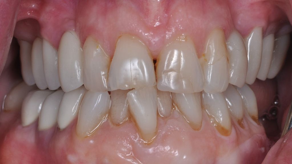
Veneers
Explore a full smile transformation with custom veneers designed at The Village Dental Miami. We use advanced techniques and premium materials to create a natural, luminous look that perfectly suits each patient. These before-and-after showcase the dramatic impact veneers can have on confidence and appearance.
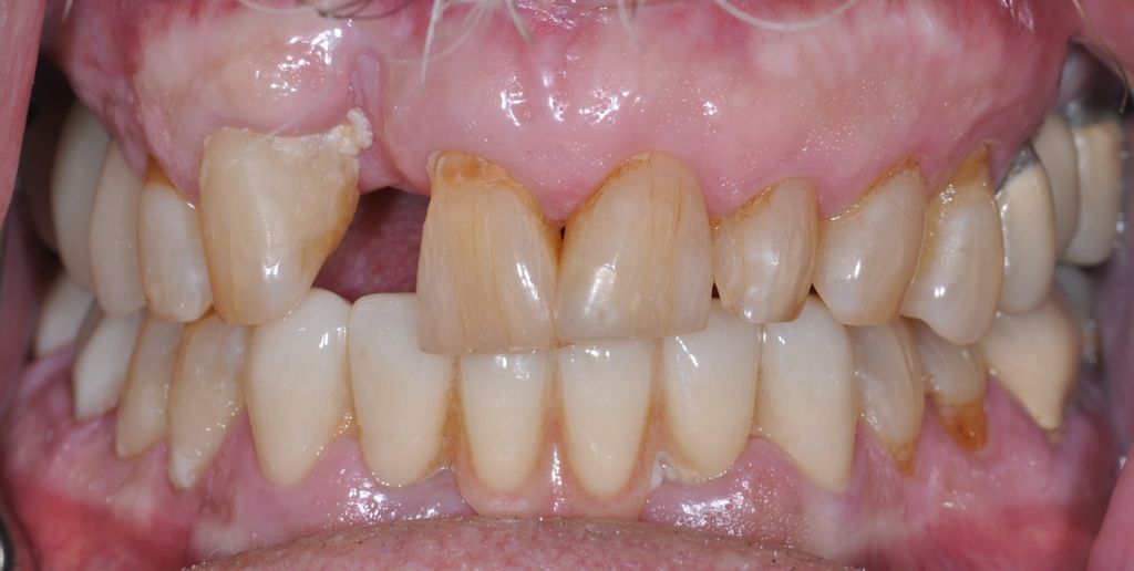
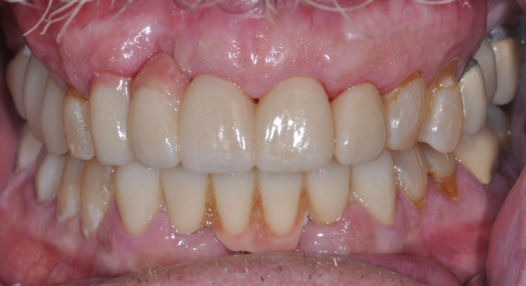
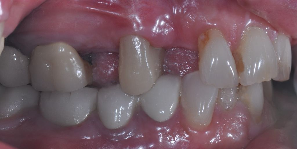
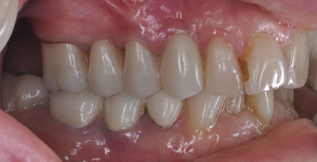
Dental Implants
Dental implants restore missing teeth with permanent replacements that look, feel, and work like the real thing. These transformations shows how implants improve not just your smile, but your ability to eat, speak, and live confidently every day.
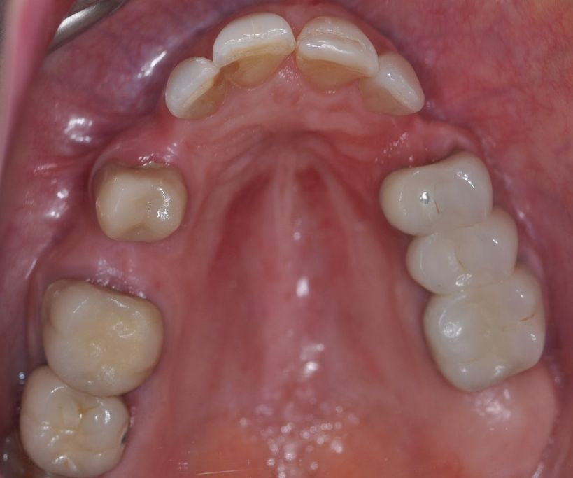
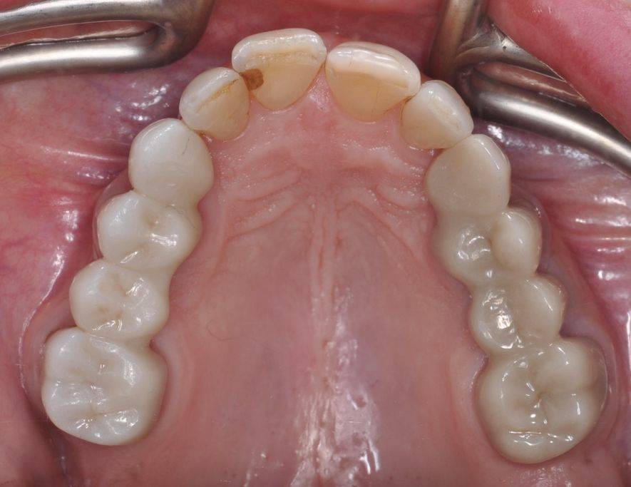
All On X
All-on-X dental implants provide a full-arch solution that’s stable, natural-looking, and life-changing. These cases demonstrate how we replace missing teeth with a secure, beautiful smile in fewer visits, improving function, health, and confidence.
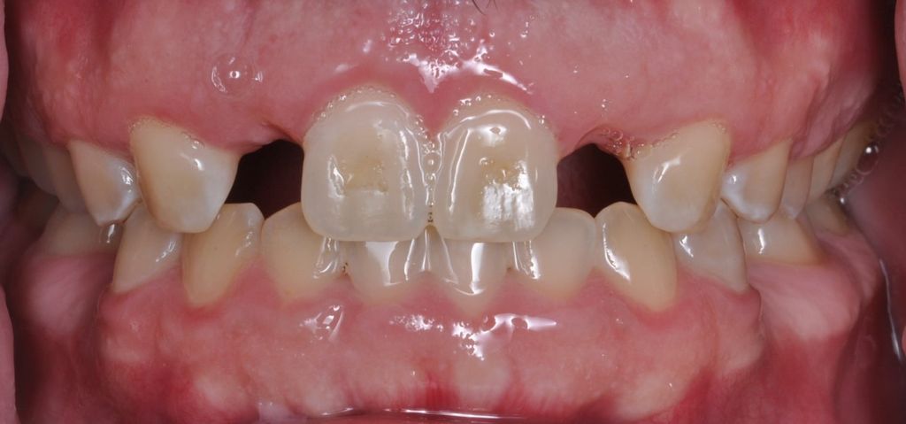
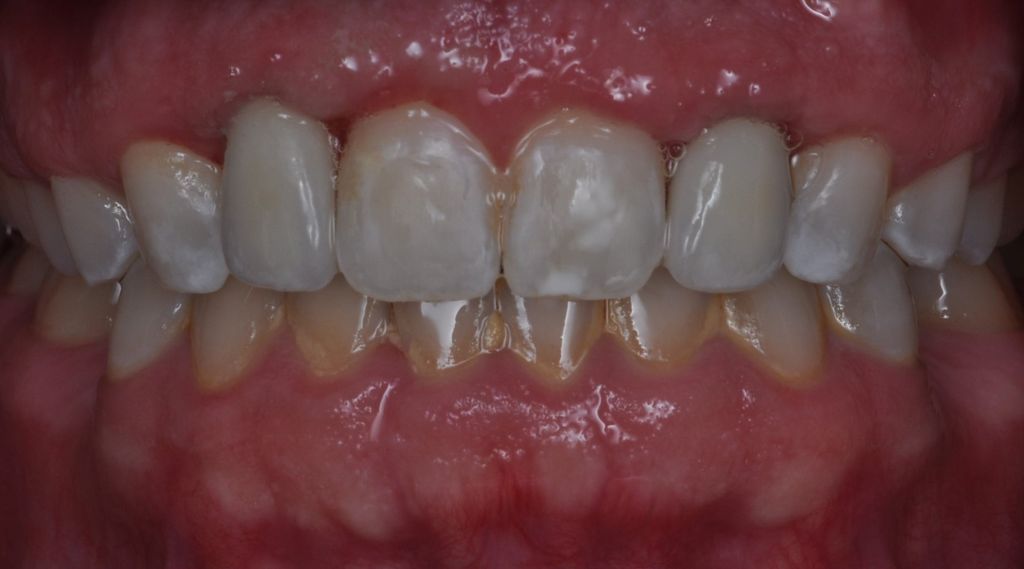
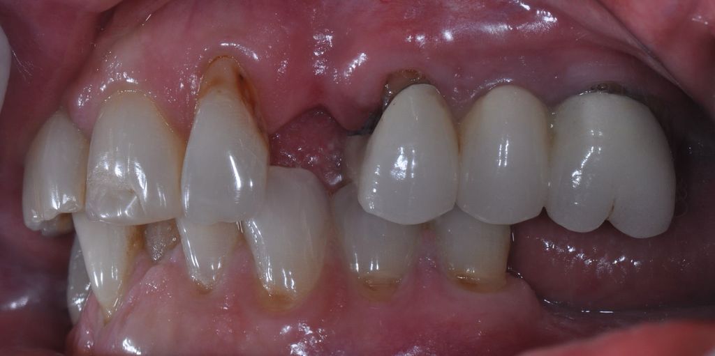
Dental Bridges
A missing tooth can affect your bite, speech, and confidence. This Pinecrest cases showcase how our dental bridges fill the gap with a solution that looks and feels like your own teeth—restoring balance, comfort, and a natural smile.
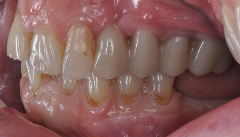
Dental Resins
Dental resins offer a fast, minimally invasive way to restore beauty and function to your smile. This case highlights our ability to match natural tooth color, repair chips, and enhance shape, all in one visit. The result is a flawless, healthy-looking smile you’ll love to share.
Hear from our satisfied patients…
Our Village Dental team is dedicated to you having the best possible experience.
Our Village Dental Services
At our clinic, we offer comprehensive services from all fields of dentistry. In addition to high-end dental equipment and high-quality materials, all services are provided in a comfortable, caring environment.
And so much more!
Get Your Family In Today & Keep Those Beautiful Smiles Going!
Schedule your whole family today and start creating an enjoyable experience like you've never had before as you nurture your smiles!
Proudly serving our MIAMI communities for years
Dental Service Areas Near Miami We've Served
These are just a few of the many communities we've been serving for years.

































